
Diş Hekimliği alanında 15 yıllık tecrübemi sizlere sunmak üzere açmış olduğumuz muayenehanemizde Diş Hekimliğinin tüm hizmetlerini; en son teknolojik cihazlarla, tüm strerilizasyon kurallarına uygun olarak en üstün ve konforlu hizmet anlayışıyla sunmaktayız.
İlgi alanları
Diş Ağrısı
Diş Çürükleri
Diş Eksikliği
Diş Eti Kanaması
Diş Gıcırdatma
Diş Çapraşıklığı
Diş ve Diş eti hastalıkları
Periimplantitis
Peri-İmplant Mukozitis
Diş Çene ve Yüz Bölgesi Gelişim Yetersizlikleri
Çene Kistleri
Zirkonyum uygulamalar
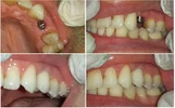
Implant tedavisi
Porselen uygulamaları
Laminate veneer
Uzmanlık alanları
Diş hekimi