
Çukurova Üniversitesi Diş Hekimliği Fakültesi mezunuyum. Okurken de dahil birçok kurs, uluslararası ve ulusal kongreye katıldım ve hala katılmaya devam etmekteyim. Katıldığım kurslar arasında ileri seviye endodonti , ön bölge estetik restorasyonlar, implantoloji, sabit ortodonti, yumuşak doku cerrahisi, porselen lamina veneer, okluzal splint, botoks, dermal dolgu ve mezoterapi bulunmaktadır.
İlgi alanları
Diş Ağrısı
Diş Çürükleri
Diş Eksikliği
Diş Eti Kanaması
Diş Gıcırdatma
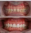
Diş Çapraşıklığı
Diş ve Diş eti hastalıkları
Periimplantitis
Peri-İmplant Mukozitis
Diş Çene ve Yüz Bölgesi Gelişim Yetersizlikleri
Çene Kistleri
Zirkonyum uygulamalar
Implant tedavisi
Porselen uygulamaları
Laminate veneer
Uzmanlık alanları
Diş hekim