
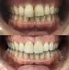
İlkokul ve ortaokul yıllarını Karabük'te geçiren ve aslen Karabüklü olan ELİF ARSLAN ,Mehmet Vergili Fen Lisesi'nden mezun olup ardından Kocaeli Üniversitesi Diş Hekimliği Fakültesini kazanıp başarı ile lisans eğitimini tamamladıktan sonra poliklinik ortaklığı yapmış olup Ataşehir'de kendi adını taşıyan 'Estetik ve İmplantoloji Diş Kliniği'ni kurmuş,Gülüş tasarımı ve Estetik Gülüş Dizaynı çalışmalarını burada sürdürmeye başlamıştır.
Estetik Diş Hekimliği,İmplantoloji ve İleri Cerrahi alanlarında sürekli eğitim prensibi ile birçok eğitim programlarına katılmış olup ayrıca TDB (Türk Diş Hekimliği Birliği) ve EDAD (Estetik Diş Hekimliği Derneği ) üyesidir.Çok sayıda seminer ve kursa katılmış olup, mesleki araştırmalarını sürdürmektedir.
İlgi alanları
Diş Çürükleri
Diş Ağrısı
Diş Gıcırdatma
Diş Eksikliği
Diş Eti Kanaması
Diş ve Diş eti hastalıkları
Ağız Kokusu
Diş Çapraşıklığı
Periimplantitis
Diş Çene ve Yüz Bölgesi Gelişim Yetersizlikleri
Çene Kistleri
Bonding
Peri-İmplant Mukozitis
Pedodonti
Periodontoloji
Deneyimler
Professional Advanced Training on Prosthetics Course of Master Course by osstem implant AIC DEP.
Training on 'Digital Solutions' by TFI academy.
25th. TDA İnternational Dental CONGRESS
Ridge Split Treatment Options in İmplant Dentistry Hands on course
Okullar / eğitimler
Kocaeli Üniversitesi Diş Hekimliği Fakültesi
Uzmanlık alanları
Diş hekimi