
Uzman Diş Hekimi Seray Keçeli Onat Adana Ticaret Odası Anadolu Lisesi'nden mezun oldu. Aynı yıl Ankara Üniversitesi Diş Hekimliği Fakültesinde yüksek lisans eğitimine başladı. 2012 yılında buradaki eğitimini tamamlayarak 'Diş Hekimi' unvanını aldı.
2013 senesinde Diş Hekimliğinde Uzmanlık Sınavına (DUS) girerek Çukurova Üniversitesi Diş Hekimliği Fakültesi Periodontoloji A.D.'yi kazandı. 2013-2017 yılları arasında burada araştırma görevlisi unvanı ile görev yaptı ve uzmanlık eğitimi sürecinde yurtiçinde ve yurtdışında çeşitli kongrelere ve sunumlara katıldı.
2017 senesinde 'İnterdental Pembe Estetiğin Yapılandırılmasında Hyaluronik Asit Kullanımının Etkisi' başlıklı tez çalışmasını sunup, uzmanlık sınavında başarılı olmuş ve 'Periodontoloji Uzmanı' unvanına hak kazanmıştır. 2017 yılından itibaren Adana'da özel sektörde hastalarına hizmet vermektedir.
İlgi alanları
Diş Ağrısı
Diş Çürükleri
Diş Eksikliği
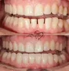
Diş Eti Kanaması
Diş Gıcırdatma
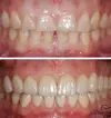
Diş Çapraşıklığı
Diş ve Diş eti hastalıkları
Periimplantitis
Peri-İmplant Mukozitis
Diş Çene ve Yüz Bölgesi Gelişim Yetersizlikleri
Çene Kistleri
Zirkonyum uygulamalar
Implant tedavisi
Porselen uygulamaları
Laminate veneer
Uzmanlık alanları
Diş hekim