
Dt. Zeynep Topaloğlu Devrent Diş Hekimi
İlgi alanları
Diş Ağrısı
Diş Çürükleri
Diş Eksikliği
Diş Eti Kanaması
Diş Gıcırdatma
Diş Çapraşıklığı
Diş ve Diş eti hastalıkları
Periimplantitis
Peri-İmplant Mukozitis
Diş Çene ve Yüz Bölgesi Gelişim Yetersizlikleri
Çene Kistleri
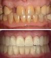
Zirkonyum uygulamalar
Implant tedavisi
Porselen uygulamaları
Laminate veneer
Uzmanlık alanları
Diş hekim