Adwhit Logo
Uygulamayı indirin
Tüm yeniliklerden haberdar olun
/
Ustalar ve Hizmetler
/
Türkiye'deki en iyi diş hekimleri
/
Diş Çene ve Yüz Bölgesi Gelişim Yetersizlikleri
Dr. Dt. Miray Günyüz Toklu

Diş Çene ve Yüz Bölgesi Gelişim Yetersizlikleri

Dr.Dt Miray Günyüz Toklu 2008 yılında Marmara Üniversitesi Diş Hekimliği Fakültesi'nden mezun olmuştur..2009 yılında da Yeditepe Üniversitesi Diş Hekimliği Fakültesi Ortodonti Ana Bilim Dalı'nda doktora eğitimine başlamış ve 2014 yılında 'Hyrax ve Hibrit Hyrax üst çene genişletme aygıtlarının iskeletsel,dişsel ve periodontal etkilerinin üç boyutlu olarak değerlendirilmesi' konulu tez çalışmasını sunarak doktora eğitimimi tamamlamış 'ortodonti uzmanı,doktor' ünvanını almıştır. Tez çalışması ‘American Journal of Orthodontics ve Dentofacial Orthopedics’ dergisinde yayınlanmış olan Miray Günyüz Toklu 2014-2022 yılları arasında Özel Erol Toklu Ağız ve Diş Sağlığı Polikliniği’nde hizmet vemiştir. Şu an İstanbul'da kendi kliniğinde hizmet vermektedir.

İlgi alanları

  • Diş Çapraşıklığı

  • Sınıf 3 Malokluzyonlar

  • Ortodontik Malokluzyonlar

  • Gömülü Dişler

  • Çene Kistleri

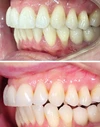
  • Diş Çene ve Yüz Bölgesi Gelişim Yetersizlikleri

  • Çene Bozukluğu

  • Çene Problemleri

  • Perikoronitis

  • Sınıf 2 Malokluzyonlar

  • Diş Gıcırdatma

  • Diş Çürükleri

  • Diş Eti Kanaması

  • Diş Ağrısı

  • Ayrık Dişler

  • Çarpık Diş

  • Kırık Diş

  • Diş Kırıkları

  • Uyku Apnesi

  • Ağız Yaraları

  • Temporomandibular Eklem (TME) Rahatsızlıkları

  • Lazer Cerrahisi

  • Gömülü dişler

  • Çene Darlığı

  • Açık Kapanış

  • Örtülü Kapanış

  • Çene Eklemi Problemleri

  • Ortognatik cerrahi

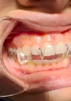
  • Invisalign

Deneyimler

  • Fulyadent Ağız ve Diş Sağlığı

  • Özel Erol Toklu Ağız ve Diş Sağlığı Polikliniği

  • Dr. Miray Günyüz Toklu Kliniği

Okullar / eğitimler

  • Marmara Üniversitesi Diş Hekimliği Fakültesi (2008)

  • Yeditepe Üniversitesi Diş Hekimliği Fakültesi (2014)

Uzmanlık alanları

  • Ortodonti

  • Diş hekimi

Değerlendirme: 0 / 5
0 değerlendirme işlemi
Fotoğraflar
Video
Ad Soyad
Dr. Dt. Miray Günyüz Toklu

Yaş
46

Deneyim
5 - 10 yıl

Adres
İstanbul / Bakırköy / Zeytinlik mah.
Ana Sayfa
Hesabım
İlan Ekle