
Dt. Zeynep Sapan , kendi kliniğinde hizmet vermektedir.
İlgi alanları
Diş Gıcırdatma
Diş Çürükleri
Diş Eksikliği
Diş Ağrısı
Diş Eti Kanaması
Diş ve Diş eti hastalıkları
Ağız Kokusu
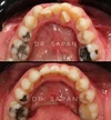
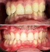
Diş Çapraşıklığı
Periimplantitis
Diş Çene ve Yüz Bölgesi Gelişim Yetersizlikleri
Uyku Apnesi
Peri-İmplant Mukozitis
Çene Kistleri
Gömülü Dişler
Diş Sıkma
Çene Bozukluğu
Kırık Diş
Diş Taşı
Ayrık Dişler
Temporomandibular Eklem (TME) Rahatsızlıkları
Lezyonlu (Enfekte) Diş
Ağız Yaraları
Diş Kırıkları
Deneyimler
Dr. Zeynep Sapan Muayenehanesi
Okullar / eğitimler
Diş Hekimliği Fakültesi
Uzmanlık alanları
Diş hekimi
Ortodonti