Adwhit Logo
Uygulamayı indirin
Tüm yeniliklerden haberdar olun
Dt. Öznur Özkan

Dijital diş hekimliği

Diş Hekimi Öznur Özkan Bezmialem Vakıf Üniversitesi'nden 2018 senesinde Yüksek Onur Derecesi ile mezun oldu . 4 yıl boyunca çeşitli klinik diş merkezlerinde aktif olarak görev aldıktan sonra ,kendi kliniğini açtı . Öğrencilik yıllarından itibaren çok çeşitli eğitimler alarak , güncel tedavileri yakından takip etmektedir .

İlgi alanları estetik diş hekimliğinin konuları olan, bonding uygulamaları, estetik kompozit dolgu uygulamaları, lamina tedavileri, gülüş tasarımı, dişeti tedavileri, zirkonyum ve botoks uygulamalarıdır.

Ayrıca diğer tedavilerle ilgili olarak kliniğinde uzman hekimlerle birlikte kendi kliniğinde multidisipliner bir yaklaşımla hizmet vermektedir.

İlgi alanları

  • Diş Çürükleri

  • Diş Gıcırdatma

  • Diş Ağrısı

  • Diş Eksikliği

  • Diş Eti Kanaması

  • Diş ve Diş eti hastalıkları

  • Diş Çapraşıklığı

  • Diş Taşı

  • Ağız Kokusu

  • Periimplantitis

  • Perikoronitis

  • Çene Kistleri

  • Bonding

  • Çocuk Diş Tedavisi

  • Endodonti

  • Ayrık Dişler

  • Periodontoloji

  • Kırık Diş

  • Pedodonti

  • Çarpık Diş

  • Lezyonlu (Enfekte) Diş

  • Diş Kırıkları

  • Diş Sıkma

  • Aft

Deneyimler

  • Bezmialem Vakıf Üniversitesi (2016-2018)

  • Esnan Ağız ve Diş Sağlığı Merkezi (2018-2020)

  • Diş Hekimi Öznur Özkan Kliniği(2020-)

Okullar / eğitimler

  • Bezmialem Vakıf Üniversitesi(2018)

  • Şehremini Anadolu Lisesi(2011)

Uzmanlık alanları

  • Diş hekimi

Değerlendirme: 0 / 5
0 değerlendirme işlemi
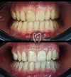
Fotoğraflar
Ad Soyad
Dt. Öznur Özkan

Yaş
39

Deneyim
5 - 10 yıl

Adres
İstanbul / Şişli / Gülbahar mah.
Ana Sayfa
Hesabım
İlan Ekle