
Çocuk Diş Hekimi Dr. Dt. Şila Saatcıoğlu Buber, İstanbul doğumlu. Lise öğrenimini 2008 yılında Esayan Ermeni Lisesi’nde tamamladı, 2014 yılında Yeditepe Üniversitesi Diş Hekimliği Fakültesi’nden yüksek onur derecesi ile mezun oldu. Aynı yıl Yeditepe Üniversitesi Diş Hekimliği Fakültesi Çocuk Diş Hekimliği (Pedodonti) Anabilim Dalı’nda doktora eğitimine kabul edildi. ''Lizozim, Laktoferrin ve Taşıyıcı Olarak Poloksamer 407 İçeren Yeni Formülasyonların, Oral Mukoza Üzerindeki İritasyon Etkilerinin In Vivo Koşullarda Değerlendirilmesi'' konulu tez savunması ile doktora eğitimini tamamladı
İlgi alanları
Diş Ağrısı
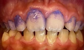
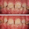
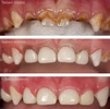
Diş Çürükleri
Diş Eksikliği
Diş Eti Kanaması
Diş Gıcırdatma
Diş Çapraşıklığı
Diş ve Diş eti hastalıkları
Periimplantitis
Peri-İmplant Mukozitis
Diş Çene ve Yüz Bölgesi Gelişim Yetersizlikleri
Çene Kistleri
Zirkonyum uygulamalar
Implant tedavisi
Porselen uygulamaları
Laminate veneer
Uzmanlık alanları
Diş hekim