
Ankara Üniversitesi Diş Hekimliği Fakültesinden 2013 yılında mezun oldum. 2014 yılında DUS (Diş Hekimliğinde Uzmanlık Sınavı) ile Recep Tayyip Erdoğan Üniversitesi Diş Hekimliği Fakültesi Ağız, Diş ve Çene Cerrahisi AD ‘na yerleştim. Uzmanlık eğitimim de Tıp Fakültesinde Acil, Anesteziyoloji, KBB, ve Plastik Cerrahi bölümlerinde rotosyon eğitimi aldım. 2018 yılında Fırat Üniversitesi Diş Hekimliği Fakültesinde uzmanlık eğitimini tamamladım. 2018 yıllında Fırat Üniversitesinde Yardımcı Doç. olarak çalışmaya başladım. Uluslararası dergilerde yayınlanmış olduğum makalelerim, birçok uluslararası kongrelerde sözlü bildirimlerim bulunmaktadır. Branşımda başlıca ilgi alanlarım ağız cerrahisi, dental implantoloji, eklem rahatsızlıkları, ağız hastalıkları, çene yüz deformiteleri ve çene yüz travmalarıdır. 2022 yılında Üniversitedeki görevimden ayrılarak kendi kliniğimde hizmet vermeye başladım. Ağız ve Çene Yüz Cerrahisi Birliği Derneği (AÇBİD) ve Türk Oral ve Maksillofasial Cerrahi Derneği (TAOMS) üyesiyim. Evli ve bir çocuk annesiyim.
İlgi alanları
Diş Ağrısı
Diş Çürükleri
Diş Eksikliği
Diş Eti Kanaması
Diş Gıcırdatma
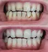
Diş Çapraşıklığı
Diş ve Diş eti hastalıkları
Periimplantitis
Peri-İmplant Mukozitis
Diş Çene ve Yüz Bölgesi Gelişim Yetersizlikleri
Çene Kistleri
Zirkonyum uygulamalar
Implant tedavisi
Porselen uygulamaları
Laminate veneer
Uzmanlık alanları
Diş hekim