
Orta ve lise eğitimini Saint-Joseph Fransız Lisesi nde tamamlamıştır. Lisans eğitimini 2013 yılında Yeditepe Üniversitesi Diş Hekimliği Fakültesi nde tamamlamıştır. Lisanüstü eğitimini 2021 yılında Yeditepe Üniversitesi Ağız Diş ve Çene Cerrahisi Bölümü nde tamamlamıştır. Mesleki ilgi alanları dental implant cerrahisi ve all on 4 implant sistemleridir.
İlgi alanları
Diş Ağrısı
Diş Çürükleri
Diş Eksikliği
Diş Eti Kanaması
Diş Gıcırdatma
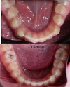
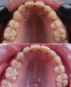
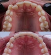
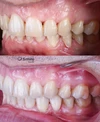
Diş Çapraşıklığı
Diş ve Diş eti hastalıkları
Periimplantitis
Peri-İmplant Mukozitis
Diş Çene ve Yüz Bölgesi Gelişim Yetersizlikleri
Çene Kistleri
Zirkonyum uygulamalar
Implant tedavisi
Porselen uygulamaları
Laminate veneer
Uzmanlık alanları
Diş hekim