
Dt. Kemal Günbaş, kendi muayenehanesinde hizmet vermektedir. Süleyman Demirel Üniversitesi Diş Hekimliği Fakültesi'nden 2001 yılında mezun olmuştur. 2018-2019 yılları arasında , Avrupa Birliğince desteklenen ve tanınan Wilma Simoes İnstitue Lisbon Functional Jaw Orthopedics School ‘da Çene Ortopedisi eğitimini tamamlamıştır .
İlgi alanları
Diş Ağrısı
Diş Çürükleri
Diş Eksikliği
Diş Eti Kanaması
Diş Gıcırdatma
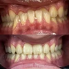
Diş Çapraşıklığı
Diş ve Diş eti hastalıkları
Periimplantitis
Peri-İmplant Mukozitis
Diş Çene ve Yüz Bölgesi Gelişim Yetersizlikleri
Çene Kistleri
Zirkonyum uygulamalar
Implant tedavisi
Porselen uygulamaları
Laminate veneer
Uzmanlık alanları
Diş hekim