
Diş Hekimi Fırat Karademir 1985 yılında Yalova’da doğmuştur.
2003 yılında Yalova Lisesi’nden mezun olduktan sonra Marmara Üniversitesi Diş Hekimliği Fakültesi’ne başlamıştır. 2018 yılında mezun olduktan sonra Beyaz Işık Diş Polikliniği’nde çalışmaya başlamıştır. Diş Hekimi Karademir Türk Dişhekimleri Birliği üyesidir.
Diş Ağrısı
Diş Çürükleri
Diş Eksikliği
Diş Eti Kanaması
Diş Gıcırdatma
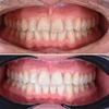
Diş Çapraşıklığı
Diş ve Diş eti hastalıkları
Periimplantitis
Peri-İmplant Mukozitis
Diş Çene ve Yüz Bölgesi Gelişim Yetersizlikleri
Çene Kistleri
Zirkonyum uygulamalar
Implant tedavisi
Porselen uygulamaları
Laminate veneer
Uzmanlık alanları
Diş hekimi