
Akdeniz Üniversitesi mezunuyum. Diş Hekimliği alanında hizmet veriyorum.
İlgi alanları
Diş Ağrısı
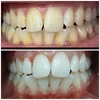
Diş Çürükleri
Diş Eksikliği
Diş Eti Kanaması
Diş Gıcırdatma
Diş Çapraşıklığı
Diş ve Diş eti hastalıkları
Periimplantitis
Peri-İmplant Mukozitis
Diş Çene ve Yüz Bölgesi Gelişim Yetersizlikleri
Çene Kistleri
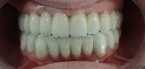
Zirkonyum uygulamalar
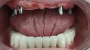
Implant tedavisi
Porselen uygulamaları
Laminate veneer
Uzmanlık alanları
Diş hekim