
Merhaba ben Kerem Çağlar Gümüş; Diş Hekimliği, Periodontoloji alanında eğitim aldım. Hastalarımı Özel Dent İzmit Ağız ve Diş Sağlığı Polikliniği Gölcük Şube ve Özel Dent İzmit Ağız ve Diş Sağlığı Polikiniği İzmit Şubesinde görmekteyim.
İlgi alanları
Diş Ağrısı
Diş Çürükleri
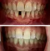
Diş Eksikliği
Diş Eti Kanaması
Diş Gıcırdatma
Diş Çapraşıklığı
Diş ve Diş eti hastalıkları
Periimplantitis
Peri-İmplant Mukozitis
Diş Çene ve Yüz Bölgesi Gelişim Yetersizlikleri
Çene Kistleri
Zirkonyum uygulamalar
Implant tedavisi
Porselen uygulamaları
Laminate veneer
Uzmanlık alanları
Diş hekim