Adwhit Logo
Uygulamayı indirin
Tüm yeniliklerden haberdar olun
Uzm. Dt. Esin Maral

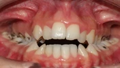
Çarpık dişler

2012 yılında İstanbul Üniversitesi Dişhekimliği Fakültesinden mezun oldum.
2017 yılında İstanbul Üniversitesi Dişhekimliği Fakültesi Ortodonti Anabilim dalında uzmanlık
eğitimimi tamamladım.
2017- 2021 yılları arasında Okmeydanı Ağız ve Diş sağlığı Hastanesinde Ortodonti uzmanı olarak
çalıştım.
2021 yılında Dentakay Ağız ve Diş Sağlığı Polikliniğinde çalışmaktayım. 2022 yılı haziran ayından
itibaren kendi muayenehanemde de hizmet vermeye başladım.

İlgi alanları

  • Diş Çürükleri

  • Diş Ağrısı

  • Diş Eksikliği

  • Diş ve Diş eti hastalıkları

  • Ağız Kokusu

  • Diş Çapraşıklığı

  • Periimplantitis

  • Diş Çene ve Yüz Bölgesi Gelişim Yetersizlikleri

  • Çene Bozukluğu

  • Ayrık Dişler

  • Çarpık Diş

  • Diş Gıcırdatma

  • Diş Eti Kanaması

  • Diş Çapraşıklığı

  • Çocuk Diş Tedavisi

  • Kırık Diş

  • Diş Taşı

  • Lezyonlu (Enfekte) Diş

  • Diş Sıkma

  • Diş Kırıkları

  • Gömülü Dişler

  • Sınıf 3 Malokluzyonlar

  • Sınıf 2 Malokluzyonlar

  • Sınıf 1 Malokluzyonlar

  • Ortodontik Malokluzyonlar

Deneyimler

  • Okmeydanı Ağız ve Diş sağlığı Hastanesin

  • Dentakay Ağız ve Diş Sağlığı Polikliniği

  • İstanbul Klinik Ağız Ve Diş sağlığı Polikliniği

Okullar / eğitimler

  • İstanbul Üniversitesi Dişhekimliği Fakültesi

  • İstanbul Üniversitesi Dişhekimliği Fakültesi Ortodonti

Uzmanlık alanları

  • Diş hekimi

  • Ortodonti

Değerlendirme: 0 / 5
0 değerlendirme işlemi
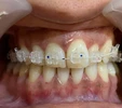
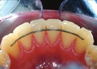
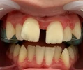
Fotoğraflar
Ad Soyad
Uzm. Dt. Esin Maral

Yaş
40

Deneyim
5 - 10 yıl

Adres
İstanbul / Başakşehir / Bahçeşehir 1. kisim mah.
Ana Sayfa
Hesabım
İlan Ekle