
Dt. Emre Uslu,
Mezuniyetinden bu tarihe kadar kamu ve özel kliniklerde çalışmış olan Uslu; evli ve bir kız babasıdır.
İlgi alanları
Diş Ağrısı
Diş Çürükleri
Diş Eksikliği
Diş Eti Kanaması
Diş Gıcırdatma
Diş Çapraşıklığı
Diş ve Diş eti hastalıkları
Periimplantitis
Peri-İmplant Mukozitis
Diş Çene ve Yüz Bölgesi Gelişim Yetersizlikleri
Çene Kistleri
Zirkonyum uygulamalar
Implant tedavisi
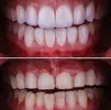
Porselen uygulamaları
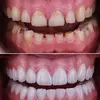
Laminate veneer
Uzmanlık alanları
Diş hekim