Adwhit Logo
Uygulamayı indirin
Tüm yeniliklerden haberdar olun
Dt. Aybike Şahlanan

Ağız kokusundan kurtulmak

Dt. Aybike Şahlanan Diş Hekimi

İlgi alanları

  • Diş Ağrısı

  • Diş Çürükleri

  • Diş Eksikliği

  • Diş Eti Kanaması

  • Diş Gıcırdatma

  • Diş Çapraşıklığı

  • Diş ve Diş eti hastalıkları

  • Periimplantitis

  • Peri-İmplant Mukozitis

  • Diş Çene ve Yüz Bölgesi Gelişim Yetersizlikleri

  • Çene Kistleri

  • Zirkonyum uygulamalar

  • Implant tedavisi

  • Porselen uygulamaları

  • Laminate veneer

Uzmanlık alanları

  • Diş hekim

Değerlendirme: 0 / 5
0 değerlendirme işlemi
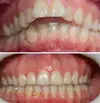
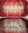
Fotoğraflar
Ad Soyad
Dt. Aybike Şahlanan

Yaş
37

Deneyim
5 - 10 yıl

Adres
Ankara / Çankaya / Kizilirmak mah.
Ana Sayfa
Hesabım
İlan Ekle