
الدكتورة إسراء إيفيرجن ديميريورك طبيبة أسنان
مجالات الاهتمام
صرير الأسنان
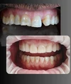
تسوس الأسنان
ألم الأسنان
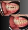
فقدان الأسنان
نزيف اللثة
أمراض الأسنان واللثة
رائحة الفم الكريهة
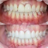
اعوجاج الأسنان
التهاب ما حول الزرعة السنية (Periimplantitis)
قصور نمو منطقة الأسنان والفكين والوجه
مجالات التخصص
طبيب أسنان