Adwhit Logo
قم بتحميل التطبيق
ليصلكم كل جديد من عروض أدويت
دكتور إرجان تيرياكي

هشاشة الاسنان

الأخصائي د. إركان تيريكي، أخصائي تقويم الأسنان، طبيب أسنان

مجالات الاهتمام

  • تسوس الأسنان

  • ألم الأسنان

  • فقدان الأسنان

  • اعوجاج الأسنان

مجالات التخصص

  • تقويم الأسنان

  • طب الأسنان

التقييم: 0 / 5
0 عملية تقييم
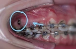
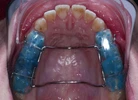
الصور
فيديو
الاسم الكامل
دكتور إرجان تيرياكي

العمر
40 سنة

الخبرة
5 - 10 سنة

العنوان
İstanbul / Şişli / Merkez mah.
الرئيسية
حسابي
اضافة عرض