
تواصل نسيمة أوزدمير حياتها المهنية في مستشفى هوسبيتال دينت بنديك لطب الأسنان.
مجالات الاهتمام
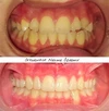
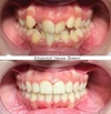
تزاحم الأسنان
نقص الأسنان
الأسنان المطمورة
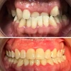
الفراغات بين الأسنان
الإطباق المتقاطع
تراجع/تقدم الفك السفلي
تراجع/تقدم الفك العلوي
العلاج بالتقويم الشفاف
نقص الأسنان الدائمة
المدارس / الدراسات
كلية طب الأسنان بجامعة غازي
قسم تقويم الأسنان بجامعة غازي عثمان باشا
مجالات التخصص
طبيبة أسنان
تقويم الأسنان