
أُقدّم خدماتي في مجال طب الأسنان.
مجالات الاهتمام
صرير الأسنان
تسوس الأسنان
ألم الأسنان
نقص الأسنان
نزيف اللثة
أمراض الأسنان واللثة
رائحة الفم الكريهة
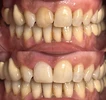
ازدحام الأسنان
التهاب ما حول الغرسات (Periimplantitis)
نقص النمو في منطقة الأسنان والفك والوجه
قرح الفم (الأفت)
جروح الفم
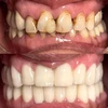
تباعد الأسنان (الفراغات بين الأسنان)
البوندينغ (Bonding)
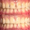
ازدواج أو عوجاج الأسنان
اضطرابات الفك
أكياس الفك
علاج أسنان الأطفال
كسور الأسنان
ضغط الأسنان (الضغط الليلي أو الصك على الأسنان)
الجير (تراكم الرواسب على الأسنان)
علاج جذور الأسنان (Endodontics)
السن المكسور
الجراحة بالليزر
الأسنان المصابة (الملتهبة / ذات الآفات)
طب أسنان الأطفال (Pedodontics)
التهاب مخاطية ما حول الغرسة
التهاب ما حول التاج (Pericoronitis)
أمراض دواعم الأسنان (Periodontology)
التخدير الواعي (Sedation)
الخبرات
عيادة الحوار الخاص لصحة الفم والأسنان
المجالات التخصصية
طبيب أسنان