
تخرجت من كلية طب الأسنان بجامعة ميديبول عام 2015 بعد أن أكملت تعليمي العالي لمدة خمس سنوات. في نفس العام، نجحت في امتحان الدكتوراه وبدأت تخصصي في قسم تقويم الأسنان بجامعة بيزمانيلم. في عام 2017، انتقلت أفقياً إلى جامعة ألتن باش حيث واصلت مسيرتي الأكاديمية وأكملت تخصصي بنجاح. أواصل مسيرتي الأكاديمية كعضو هيئة تدريس في الجامعة. أحرص على المشاركة سنوياً في الدورات والندوات والمؤتمرات المحلية والدولية. ومنذ عام 2018، أقدم خدماتي للمرضى كمزود لخدمة Invisalign.
مجالات الاهتمام
اختلالات إطباق الأسنان التقويمية
اختلال الإطباق من النوع الثالث
اختلال الإطباق من النوع الأول
اختلال الإطباق من النوع الثاني
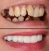
تسوس الأسنان
صرير الأسنان
ألم الأسنان
فقدان الأسنان
نزيف اللثة
أمراض الأسنان واللثة
رائحة الفم
نقص نمو الأسنان والفك والوجه
ازدحام الأسنان
اضطرابات الفك
مشاكل الفك
الأسنان المطمورة
الأسنان المتفرقة
كسر السن
ميلان الأسنان
انقطاع النفس النومي
تقويم الأسنان
صرير الأسنان
مجالات التخصص
طبيب أسنان
تقويم الأسنان