
تخرجت من كلية طب الأسنان بجامعة أنقرة في عام 2016.
أقوم في عيادتي بجميع إجراءات طب الأسنان.
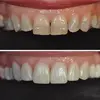
أركز بشكل خاص على مجالي زراعة الأسنان وطب الأسنان التجميلي.
بالإضافة إلى ذلك، أُعنى أيضاً بتصوير الأسنان وأقوم بإعداد أرشيفات متابعة لمرضاى من خلال صور قبل وبعد العلاج.
حالياً أعمل في عيادة أفادينت لطب الأسنان، التي أنا شريك مؤسس فيها مع زوجتي، طبيبة الأسنان سيدا أرسلان أتيك.
مجالات الاهتمام
ألم الأسنان
تسوس الأسنان
فقدان الأسنان
نزيف اللثة
صرير الأسنان
اعوجاج الأسنان
أمراض الأسنان واللثة
التهاب الأنسجة المحيطة بالزرعة (Periimplantitis)
التهاب مخاطية ما حول الغرسة (Peri-Implant Mukozitis)
نقص نمو منطقة الأسنان والفك والوجه
أكياس الفك
تطبيقات الزركونيوم
علاج الزرعات السنية
تطبيقات البورسلين
القشور التجميلية (Laminate veneer)
مجالات التخصص
طبيب أسنان