
هدفنا هو تقديم تجربة طب أسنان دافئة ومراعية لمرضانا، مع تقديم خدمات عالية الجودة في مجالات العلاج العام والتجميلي والتخصصي لطب الأسنان. نسعى لتوفير رعاية أسنان متاحة بمعايير عالية لمرضانا الأعزاء. نحن نهدف إلى تقديم علاجات أسنان عالية الجودة وبأسعار مناسبة للجميع.
مجالات الاهتمام
تسوس الأسنان
نزيف اللثة
ألم الأسنان
أمراض الأسنان واللثة
فقدان الأسنان
رائحة الفم الكريهة
صرير الأسنان
ترميم الأسنان (Bonding)
علاجات الأسنان اللبنية
علاج جذور الأسنان
الجمال الوردي (Pembe Estetik)
طب أسنان الأطفال - بيدودونتيا
تبييض الأسنان (Bleaching)
قشور البورسلان (لامينا)
الزيركون
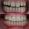
تصميم الابتسامة
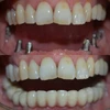
زراعة الأسنان
خلع الأسنان
تقويم الأسنان باستخدام التقويم الشفاف
مجالات التخصص
طبيب أسنان