
د. سليم طغرل طبيب أسنان
مجالات الاهتمام
ألم الأسنان
تسوس الأسنان
فقدان الأسنان
نزيف اللثة
صرير الأسنان
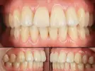
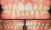
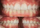
اعوجاج الأسنان
أمراض الأسنان واللثة
التهاب حول الغرسات (Periimplantitis)
التهاب مخاطية حول الغرسة (Peri-Implant Mucositis)
نقص نمو منطقة الأسنان والفك والوجه
أكياس الفك
تطبيقات الزركونيوم
علاج الزرع
تطبيقات البورسلين
فينير اللومنات
مجالات التخصص
طبيب أسنان