
كلية طب الأسنان، جامعة إسطنبول (تشابا)
تقويم الأسنان (تخصص ودكتوراه)
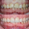
مجالات الاهتمام
ازدحام الأسنان
نقص الأسنان
نقص تطور منطقة الأسنان والفك والوجه
تقويم الأسنان
الجراحة التقويمية للفكين
علاج الصفائح الشفافة (Invisalign)
المنشورات
Kayalar E, Schauseil M, Kuvat SV, Emekli U, Fıratlı S. مقارنة بين الأجهزة المثبتة على الأسنان والأجهزة الهجينة في التوسيع السريع للفك العلوي بمساعدة جراحية: دراسة سريرية عشوائية بالأشعة المقطعية المحوسبة. مجلة جراحة الفك والوجه القحفي، مارس 2016؛ 44(3):285-93
Kayalar E, Küçük S. استراتيجيات مبتكرة لتسريع تكوين العظم الجديد في التوسيع السريع للفك العلوي باستخدام المنتجات الطبيعية. علم الأدوية السريرية والتجريبية، 2016، 6:2 (ملحق):104-104
Kayalar E, Fıratlı S, Schauseil M, Kuvat SV, Emekli U. مقارنة بين الأجهزة المثبتة على الأسنان والأجهزة الهجينة في التوسيع السريع للفك العلوي بمساعدة جراحية: دراسة سريرية مستقبلية باستخدام الأشعة المقطعية بالحزمة المخروطة. المجلة الأوروبية لتقويم الأسنان، أكتوبر 2014؛ 36(5): صفحة 57-57 (SCI/SCIE شاملة)
Kayalar E, Schauseil M, Fıratlı S, Hellak A, Stein S, Korbmacher-Steiner H. تقييم ثلاثي الأبعاد لتغيرات الأنسجة الرخوة للأنف بعد التوسيع السريع للفك العلوي بمساعدة جراحية باستخدام الأجهزة المثبتة على الأسنان والهجينة. مؤتمر رابطة أخصائيي تقويم الأسنان (سنغافورة)، سنغافورة، 2017
مجالات التخصص
تقويم الأسنان
طبيب الأسنان