
د. روجدا بلبُل طبيبة أسنان
مجالات الاهتمام
ألم الأسنان
تسوس الأسنان
فقدان الأسنان
نزيف اللثة
صرير الأسنان
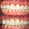
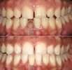
ازدحام الأسنان
أمراض الأسنان واللثة
التهاب حول الزرعة (Periimplantitis)
التهاب مخاطية حول الزرعة (Peri-Implant Mucositis)
قصور نمو منطقة الأسنان والفكين والوجه
أكياس الفك
تطبيقات الزركونيوم
علاج الزرعات السنية
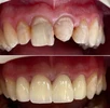
تطبيقات البورسلين
فينير اللامينات
مجالات التخصص
طبيبة أسنان