
عيادة أكاسيا لصحة الفم والأسنان
مجالات الاهتمام
صرير الأسنان
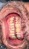
تسوس الأسنان
ألم الأسنان
فقدان الأسنان
نزيف اللثة
أمراض الأسنان واللثة
رائحة الفم الكريهة
أطقم الأسنان
زراعة الأسنان
المدارس / الدراسات
كلية طب الأسنان بجامعة تراقيا
مجالات التخصص
طب الأسنان