
د. شيما ألتوغ طبيبة أسنان
مجالات الاهتمام
ألم الأسنان
تسوس الأسنان
نقص الأسنان
نزيف اللثة
صرير الأسنان
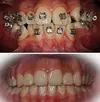
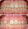
اعوجاج الأسنان
أمراض الأسنان واللثة
التهاب ما حول الزرعات
التهاب الغشاء المخاطي حول الزرعات
نقص النمو في منطقة الأسنان والفك والوجه
أكياس الفك
تطبيقات الزركونيوم
علاج الزرعات السنية
تطبيقات البورسلان
القشور الخزفية (Laminate veneer)
مجالات التخصص
طب الأسنان