
الدكتور أيوب بوزقرلي يقدم خدماته لمرضاه في عيادة أيزمة الخاصة لصحة الفم والأسنان
مجالات الاهتمام
صرير الأسنان
تسوس الأسنان
ألم الأسنان
فقدان الأسنان
نزيف اللثة
أمراض الأسنان واللثة
رائحة الفم الكريهة
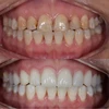
اعوجاج الأسنان
التهاب حول الزرعات السنية
نقص نمو منطقة الأسنان والفك والوجه
التهاب حول تاج السن
أكياس الفك
التهاب الغشاء المخاطي حول الزرعات السنية
اللسان المسطح (lichen planus)
ترابط الأسنان (Bonding)
علاج أسنان الأطفال
علاج جذور الأسنان (اندودونتيا)
الأسنان المنفصلة
اضطرابات الفك
علم أمراض اللثة (البيريدونتولوجي)
جير الأسنان
كسر الأسنان
علم أسنان الأطفال (بدودونتيا)
الأسنان المعوجة
اضطرابات المفصل الصدغي الفكي (TME)
الأسنان ذات الآفات (المصابة)
كسور الأسنان
الضغط على الأسنان
تقرحات الفم
الخبرات
عيادة أيزمة الخاصة لصحة الفم والأسنان
الدراسة / التعليم
طبيب أسنان
مجالات التخصص
طبيب أسنان