
دكتورة الأسنان إليس إيسين، ولدت في بلغاريا عام 1989. بعد أن أكملت التعليم الابتدائي والمتوسط في بورصة، بدأت دراسة طب الأسنان في كلية طب الأسنان بجامعة إسطنبول في عام 2007. بعد تخرجها في 2012، عملت في العديد من العيادات الكبيرة والمستشفيات. لديها حالياً عيادتها الخاصة في تشابا. تقدم خدماتها في جميع أقسام طب الأسنان.
مجالات الاهتمام
فقدان الأسنان
ألم الأسنان
نقص تطور الفك ومنطقة الوجه والفكين
صرير الأسنان
أكياس الفك
التهاب الغشاء المخاطي حول الزرعة
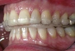
أمراض الأسنان واللثة
رائحة الفم الكريهة
التهاب ما حول تاج السن
التهاب ما حول الزرعة
تسوس الأسنان
ازدحام الأسنان
نزيف اللثة
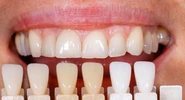
طب الأسنان التجميلي
تبييض الأسنان (تبييض الأسنان)
إغلاق الفراغات بين الأسنان (ديستيما)
مجالات التخصص
طبيب/ة أسنان