
تخرجت من كلية طب الأسنان بجامعة إيجه عام 2015. في الأعوام 2015-2016 عملت في مؤسسات مختلفة في القطاع الخاص. منذ عام 2017 وأنا أواصل تقديم الخدمات لمرضاي في عيادة دينت جروب، شارع بغداد. في عالمنا اليوم حيث لا نستطيع اللحاق بتطور التكنولوجيا، تحدث ثورات تسببت في تغييرات كبيرة في مجال طب الأسنان أيضًا. وبإدراك هذه الحقيقة، ركزت نشاطاتي المهنية بشكل أساسي على طب الأسنان الرقمي. بالإضافة إلى ذلك، فإن تطبيقات طب الأسنان التجميلي التي أصبحت ذات أهمية كبيرة في يومنا هذا هي أيضًا مجال اهتمام خاص لدي. كما أنني عضو في اتحاد أطباء الأسنان التركي (TDB)، وأكاديمية كاد (CADA-Cad Academy)، وأكاديمية طب الأسنان التجميلي (EDAD).
مجالات الاهتمام
صرير الأسنان
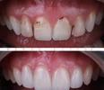
تسوس الأسنان
أمراض الأسنان واللثة
ألم الأسنان
نقص الأسنان
نزيف اللثة
رائحة الفم
ازدحام الأسنان
التهاب حول الزرعة
اختلالات نمو منطقة الأسنان والفك والوجه
الخبرات
مستشفى أجيبادم ألتونيزاده
مجالات التخصص
طبيب أسنان