
د. غولبين إيربيل طب أسنان الأطفال (طبيبة أسنان الأطفال)
مجالات الاهتمام
ألم الأسنان
تسوس الأسنان
فقدان الأسنان
نزيف اللثة
صرير الأسنان
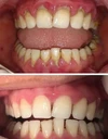
اعوجاج الأسنان
أمراض الأسنان واللثة
التهاب النسج حول الزرعة
التهاب الغشاء المخاطي حول الزرعة
قصور النمو في منطقة الأسنان والفك والوجه
أكياس الفك
تطبيقات الزركونيوم
علاج الزرعات السنية
تطبيقات البورسلين
فينير اللامينيت
مجالات التخصص
طبيب أسنان