
يعمل الدكتور أومور ساريتوبراك في مستشفى بنديك الإقليمي الخاص منذ 20 أكتوبر 2018.
مجالات الاهتمام
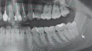
التهاب ما حول تاج السن (Perikoronitis)
أكياس الفك
أمراض الأسنان واللثة
رائحة الفم الكريهة
اعوجاج الأسنان
نقص الأسنان
صرير الأسنان
التهاب الغشاء المخاطي حول الزرعة (Peri-İmplant Mukozitis)
نقص نمو منطقة الفكين والوجه
تسوس الأسنان
نزيف اللثة
التهاب الأنسجة حول الزرعة (Periimplantitis)
ألم الأسنان
مجالات التخصص
طبيب أسنان