
وُلد الدكتور أخصائي طب الأسنان أمره أييلديز في عام 1993 في أضنة.
أتم دراسته ما قبل الجامعية في مدرسة فاكيف بنك الإعدادية وثانوية أضنة الأناضول.
نال شهادة البكالوريوس من كلية طب الأسنان بجامعة حاجيتبة التي التحق بها عام 2011؛ وأكمل دراسته للدكتوراه في قسم تقويم الأسنان بكلية طب الأسنان في جامعة أنقرة.
العلاقة بين وقفة الجسد بالكامل والتقويم عند الأطفال والمراهقين، الجبائر المفصلية، والجراحة التقويمية للفكين من مجالات اهتمامه الإكلينيكية الخاصة. الدكتور أييلديز مهتم جداً بتصوير الأسنان.
أصبح طبيباً معتمداً لتطبيق Invisalign بعد أن أنهى دورة التصديق الخاصة بالنظام في عام 2019.
وهو عضو في الجمعية التركية لتقويم الأسنان والجمعية الأوروبية لتقويم الأسنان.
مجالات الاهتمام
ألم الأسنان
تسوس الأسنان
فقدان الأسنان
نزيف اللثة
صرير الأسنان
ازدحام الأسنان
أمراض الأسنان واللثة
التهاب حول الزرعات السنية
التهاب المخاطية حول الزرعة
نقص نمو منطقة الأسنان والفكين والوجه
أكياس الفك
تطبيقات الزركونيوم
علاج الزرعات
تطبيقات البورسلين
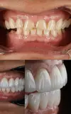
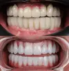
ابتسامة القشرة الخزفية (Laminate veneer)
مجالات التخصص
طبيب أسنان