Adwhit Logo
قم بتحميل التطبيق
ليصلكم كل جديد من عروض أدويت
د. ميرف كابلان

علاج بالفلوريد

د. ميرفي كابلان طبيبة أسنان

مجالات الاهتمام

  • تسوس الأسنان

  • صرير الأسنان

  • ألم الأسنان

  • فقدان الأسنان

  • نزيف اللثة

  • رائحة الفم الكريهة

مجالات التخصص

  • طبيبة أسنان

التقييم: 0 / 5
0 عملية تقييم
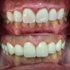
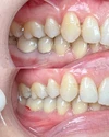
الصور
الاسم الكامل
د. ميرف كابلان

العمر
36 سنة

الخبرة
5 - 10 سنة

العنوان
İstanbul / Sultanbeyli / Adil mah.
الرئيسية
حسابي
اضافة عرض