
د. أيلا ألتون طبيبة أسنان
مجالات الاهتمام
ألم الأسنان
تسوس الأسنان
نقص الأسنان
نزيف اللثة
صرير الأسنان
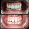
اعوجاج الأسنان
أمراض الأسنان واللثة
التهاب ما حول الزرعة
التهاب مخاطية ما حول الزرعة
قصور نمو الفكين والوجه
أكياس الفك
تطبيقات الزيركون
علاج الزرع (الزراعة السنية)
تطبيقات البورسلان
قشور الفينير (لامينيت فينير)
مجالات التخصص
طبيبة أسنان