
الدكتور إسحاق يافوز جونغور، طبيب أسنان
مجالات الاهتمام
ألم الأسنان
تسوس الأسنان
فقدان الأسنان
نزيف اللثة
صرير الأسنان
اعوجاج الأسنان
أمراض الأسنان واللثة
التهاب ما حول الزرعة
التهاب مخاطية ما حول الزرعة
قصور تطور منطقة الأسنان والفك والوجه
أكياس الفك
تطبيقات الزركونيوم
علاج الزرعات السنية
تطبيقات البورسلان
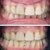
قشور الأسنان التجميلية (لامينيت فينير)
مجالات التخصص
طب الأسنان