
بعد أن تلقى تعليمه في كلية طب الأسنان بجامعة إسطنبول (تشابا)، حصل على لقب دكتور واختصاصي في علم أمراض دواعم الأسنان من خلال عمله في قسم أمراض دواعم الأسنان بكلية طب الأسنان بجامعة إسطنبول. خلال فترة دراسة الدكتوراه/الاختصاص، حصل على منحة الحكومة الفنلندية بمشروع بعنوان "تأثير الالتهاب على لويحة البكتيريا السنية" وأكمل جزءاً من دراسته في "جامعة توركو".
مجالات الاهتمام
نزيف اللثة
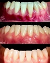
انحسار اللثة
التهاب اللثة
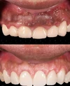
الابتسامة اللثوية (Gummy Smile)
التهاب دواعم السن (Periodontitis)
التهاب اللثة (Gingivitis)
الضغط على الأسنان
أمراض الأسنان واللثة
صرير الأسنان
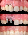
التهاب حول الزرعة السنية (Periimplantitis)
تسوس الأسنان
ألم الأسنان
رائحة الفم الكريهة
التهاب التاج (Perikoronitis)
التهاب المخاطية حول الزرعة السنية (Peri-İmplant Mukozitis)
نقص الأسنان
الجير السني
الأسنان ذات الآفات (الملتهبة)
مجالات التخصص
أمراض دواعم الأسنان (Periodontoloji)
طب الأسنان
الجوائز
منحة CIMO من فنلندا، 2012