
د. هاجر كوسه طبيبة الأسنان
مجالات الاهتمام
ألم الأسنان
تسوس الأسنان
فقدان الأسنان
نزيف اللثة
صرير الأسنان
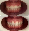
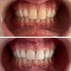
تزاحم الأسنان
أمراض الأسنان واللثة
التهاب حول الزرعة السنية (Periimplantitis)
التهاب مخاطية حول الزرعة (Peri-Implant Mucositis)
نقص نمو منطقة الأسنان والفك والوجه
كيسات الفك
تطبيقات الزركونيوم
علاج الزرعات السنية
تطبيقات البورسلان
لومينير التجميل (Laminate veneer)
مجالات التخصص
طبيبة الأسنان