
د. د.ت. ألبر أوزر طبيب أسنان، علاج الأسنان التعويضي
مجالات الاهتمام
ألم الأسنان
تسوس الأسنان
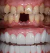
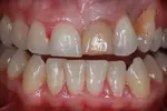
نقص الأسنان
نزيف اللثة
صرير الأسنان
ازدحام الأسنان
أمراض الأسنان واللثة
التهاب ما حول الزرعة السنية (Periimplantitis)
التهاب مخاطية ما حول الزرعة السنية (Peri-Implant Mucositis)
نقص نمو منطقة الأسنان والفك والوجه
أكياس الفك
تطبيقات الزركونيوم
علاج الزرعات السنية
تطبيقات البورسلين
واجهات اللومينير (Laminate veneer)
تخصصات
طبيب أسنان