Adwhit Logo
قم بتحميل التطبيق
ليصلكم كل جديد من عروض أدويت
/
المهن والخدمات
/
افضل اطباء الاسنان في تركيا
/
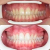
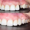
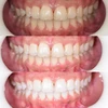
علاج الأسنان ذات الآفات الداعمة
د. مصطفى بشه

علاج الأسنان ذات الآفات الداعمة

تخرج من كلية طب الأسنان بجامعة إسطنبول عام 1993.

مجالات الاهتمام

  • أمراض الأسنان واللثة

  • تسوس الأسنان

  • صرير الأسنان

  • نزيف اللثة

  • اعوجاج الأسنان

مجالات التخصص

  • طبيب أسنان

التقييم: 0 / 5
0 عملية تقييم
الصور
الاسم الكامل
د. مصطفى بشه

العمر
57 سنة

الخبرة
اكثر من 10 سنة

العنوان
İstanbul / Ataşehir / Barbaros mah.
الرئيسية
حسابي
اضافة عرض