
تخرّج طبيب الأسنان adem can karaçor من كلية طب الأسنان بجامعة تشوكوروفا في عام 2011.
عمل بين عامي 2011 و2014 في عيادة بياض الأسنان الخاصة مع الدكتور Asaf Murat Güzelce والدكتور Mete Ezici.
خدم بين عامي 2014 و2015 كضابط طبيب أسنان برتبة ملازم أول في اللواء الثامن والعشرين بقبرص.
بين عامي 2015 و2018، عمل في عيادة Dentist Dental مع الدكتور Galip Gürel، حيث ركز بشكل أساسي على القشور الخزفية وطب الأسنان التجميلي.
ومنذ يونيو 2018، يقدم خدماته لمرضاه في عيادته الخاصة.
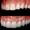
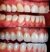
يقدم خدمات في مجالات طب الأسنان التجميلي (تصميم الابتسامة الرقمي)، التعويضات السنية، زراعة الأسنان، أمراض اللثة، علاجات الأسنان الترميمية وعلاج الجذور.
مجالات الاهتمام
نقص الأسنان
صرير الأسنان
تزاحم الأسنان
مشاكل الابتسامة
الأسنان التي فقدت لونها الطبيعي
المنشورات
أي آلة، أي عدسة؟ هل يكفي الفلاش الخاص بي؟ كيف يجب أن يكون اختيار المعدات الصحيح؟ (مجلة طب الأسنان، 2014)
Kaizen في التصوير الفوتوغرافي الأسنان (مجلة Dentpress، 2019)
المدارس / الدورات التعليمية
كلية طب الأسنان بجامعة تشوكوروفا - درجة الماجستير، 2006-2011
مجالات التخصص
طبيب أسنان