
د. أونور سوتلو طبيب أسنان
مجالات الاهتمام
صرير الأسنان
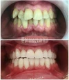
تسوس الأسنان
ألم الأسنان
فقدان الأسنان
نزيف اللثة
أمراض الأسنان واللثة
رائحة الفم الكريهة
اعوجاج الأسنان
التهاب ما حول زراعة الأسنان (بيريامبلنتيتيس)
نقص تطور منطقة الأسنان والفك والوجه
الخبرات
مستشفى في إم ميديكال بارك مالتيبيه
توبراك لصحة الفم والأسنان
المدارس / التعليم
كلية طب الأسنان
مجالات التخصص
طبيب أسنان