
د. أويغور بوداك طبيب أسنان
مجالات الاهتمام
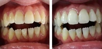
ألم الأسنان
تسوس الأسنان
نقص الأسنان
نزيف اللثة
صرير الأسنان
اعوجاج الأسنان
أمراض الأسنان واللثة
التهاب ما حول الزرعة
التهاب مخاطية ما حول الزرعة
نقص نمو منطقة الأسنان والفك والوجه
كيسات الفك
تطبيقات الزركونيوم
علاج الزرع السني
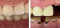
تطبيقات البورسلين
فينير اللومنات
مجالات التخصص
طبيب أسنان