
د. مسعود أوزكول طبيب أسنان
مجالات الاهتمام
ألم الأسنان
تسوس الأسنان
فقدان الأسنان
نزيف اللثة
صرير الأسنان
اعوجاج الأسنان
أمراض الأسنان واللثة
التهاب ما حول الزرعة
التهاب مخاطية ما حول الزرعة
نقص نمو منطقة الفكين والوجه
كيسات الفك
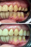
تطبيقات الزركونيوم
علاج الزرعات
تطبيقات البورسلين
قشور الفينير اللاصقة
مجالات التخصص
طبيب أسنان