
تخرج الدكتور سيتشكن سوسال من كلية طب الأسنان بجامعة مرمرة عام 1999، ثم أكمل دراسته في قسم طب أسنان الأطفال (أسنان وأمراض الأطفال) بنفس الجامعة، ويواصل حاليًا عمله كطبيب مختص في طب أسنان الأطفال في عيادة أكاديمي ليزر لصحة الفم والأسنان.
مجالات الاهتمام
صرير الأسنان
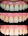
تسوس الأسنان
ألم الأسنان
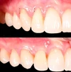
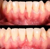
نزيف اللثة
أمراض الأسنان واللثة
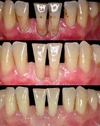
نقص الأسنان
ازدحام الأسنان
رائحة الفم الكريهة
التهاب ما حول الزرعة
نقص تطور منطقة الأسنان والفك والوجه
الخبرات
عيادة أكاديمي ليزر لصحة الفم والأسنان
المدارس / الدراسات
كلية طب الأسنان بجامعة مرمرة، 1999
قسم طب أسنان الأطفال بكلية طب الأسنان بجامعة مرمرة، 2007
مجالات الاختصاص
طبيب أسنان