
تخرجت من كلية طب الأسنان بجامعة إيجه عام 1991. أعمل كطبيب أسنان في عيادتي الخاصة. وما زلت أمارس مهنتي في سييران تيبه.
مجالات الاهتمام
ألم الأسنان
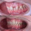
تسوس الأسنان
نقص الأسنان
نزيف اللثة
صرير الأسنان
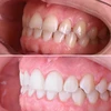
اعوجاج الأسنان
أمراض الأسنان واللثة
التهاب ما حول الزرعات السنية (Periimplantitis)
التهاب مخاطية ما حول الزرعة السنية (Peri-İmplant Mukozitis)
نقص النمو في منطقة الفك والوجه والأسنان
أكياس الفك
تطبيقات الزركونيوم
علاج الزرعات السنية
تطبيقات البورسلين
القشور الخزفية (Laminate veneer)
مجالات التخصص
طبيب أسنان