
د. د. إرهان دمير طبيب أسنان
مجالات الاهتمام
ألم الأسنان
تسوس الأسنان
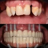
فقدان الأسنان
نزيف اللثة
صرير الأسنان
تزاحم الأسنان
أمراض الأسنان واللثة
التهاب حول الزرعة (Periimplantitis)
التهاب مخاطية حول الزرعة (Peri-Implant Mukositis)
قصور النمو في منطقة الأسنان والفك والوجه
أكياس الفك
تطبيقات الزركونيوم
علاج الزرع السني
تطبيقات البورسلان
لامينيت فينير
مجالات التخصص
طبيب أسنان